
Especialista em ORTODONTIA e IMPLANTODONTIA Sorrisos Saudáveis e Harmoniosos
Tratamentos odontológicos de excelência para todos os pacientes.
Ortodontia Avançada
Os implantes dentários por cirurgia guiada representam uma evolução na implantodontia, permitindo a instalação de implantes de forma mais precisa, segura e menos invasiva
Implante de Cirurgia Guiada
Prótese Total
A ortodontia avançada é um ramo da odontologia que utiliza técnicas modernas e tecnologias inovadoras para corrigir desalinhamentos dentários e problemas ósseos de forma mais eficiente, confortável e previsível
Clínica Geral
Clareamento Dental
Prótese Parcial
Entre os principais procedimentos da clínica geral, destacam-se a profilaxia (limpeza), remoção de cáries, aplicação de flúor, tratamento de gengivite e periodontite, extrações simples e restaurações dentárias, remoção de siso
O clareamento dental é um procedimento estético que tem como objetivo remover manchas e pigmentações dos dentes, tornando o sorriso mais branco e harmonioso.
A prótese total, popularmente conhecida como dentadura, é uma solução odontológica utilizada para substituir todos os dentes de uma arcada dentária (superior, inferior ou ambas) em pacientes que sofreram perda dentária total.
A prótese parcial é uma solução odontológica utilizada para substituir um ou mais dentes perdidos, preservando os dentes naturais remanescentes e restaurando a estética e a função mastigatória. Ela é indicada para pacientes que ainda possuem alguns dentes saudáveis na arcada dentária, servindo como uma alternativa menos invasiva em comparação aos implantes.
Dra.Edilayne Menezes CRO-ES-4058
Eu Dra. Edilayne Menezes é uma cirurgiã-dentista altamente qualificada, com especializações em ortodontia e implantodontia. Formada pela faculdade de odontologia em campos do Goitacazes a onde também realizou especialização em ortodontia especialista em implantodontia pela São Leopoldo Mandic e Residência em implantodontia pelo instituto de odontologia de Vitória (INOVI) com uma sólida formação acadêmica e ampla experiência clínica, ela se dedica a oferecer tratamentos odontológicos de excelência para seus pacientes.


+900
Pacientes satisfeitos
Serviços Odontológicos
Tratamentos de excelência para seu sorriso saudável e harmonioso.
Ortodontia Avançada
A ortodontia avançada é um ramo da odontologia que utiliza técnicas modernas e tecnologias inovadoras para corrigir desalinhamentos dentários e problemas ósseos de forma mais eficiente, confortável e previsível.


Implantodontia Especializada
A cirurgia guiada de implantes é uma técnica moderna e altamente precisa utilizada na implantodontia para a instalação de implantes dentários. Diferente do método convencional, essa abordagem utiliza tecnologia digital para planejar e executar o procedimento com maior segurança, previsibilidade e menor invasividade.


Depoimentos Clientes
Veja o que meus pacientes dizem sobre seus tratamentos odontológicos.
A Dra. Edilayne transformou meu sorriso! Profissional incrível e atenciosa. Recomendo!
Lucas Silva
A experiência com a Dra. Edilayne foi excepcional. Senti-me acolhida e confiante durante todo o tratamento. Meu sorriso nunca esteve tão bonito e saudável!
Ana Costa
★★★★★
★★★★★
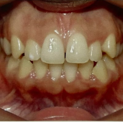
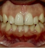
Galeria de Sorrisos
Veja nossos tratamentos












